사
건개요
상·하악 우측 사랑니(#18, #48) 발치 후 경부 부종 등 증상 발생하였고 이후 증상 악화로 상급병원에 내원함. 경부 CT 영상에서 양측 악하부 농양 소견 보여 경부 심부감염 진단하 경부농양배농술 시행 받음. 통원치료 종료되었으나 수술 부위 상처 회복을 위한 연고(contractubex gel) 바르고 있고 수술 부위의 목 움직임이 부자연스러운 상태로 이에 대한 손해배상을 청구하기 위해 의료중재원에 조정신청 하였음.
치료과정
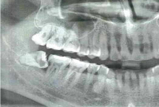
신청인(남/30대)은 사랑니 발치를 위해 피신청인의원에 내원하여 방사선 촬영 후 #14~17, #44~47 부위 부분 치석제거 및 국소마취하에 #18 치아 단순 발치, #48 치아 외과적 발치 후 경구약제(항생제, 진통 소염제) 3일분 처방받음. 다음날 #48 치아 발치 부위 소독치료 받음.
발치 2일째 목이 붓는 증상이 더욱 악화되어 A 이비인후과의원 내원하였고 ‘경부심부감염’ 의증 진단하 상기도 증기흡입치료 받음. 같은 날 인후통(sore throat)을 주호소로 B 병원 응급실 내원하였으며, 경부 CT 영상에서 ‘좌측 악하공간의 심경부농양’ 진단하 이비인후과 입원하였으며, 다음날 치과 협진 결과 ‘양측 하악공간의 심경부농양’ 진단하 보존적 치료(항생제 및 진통·소염제주사, 비약물적 이완요법 교육) 받았으며, 입원 3일째 경부 CT 영상에서 ‘양측 악하부 농양(++)’ 소견으로 양측 악하공간의 심경부농양절개 및 배농술 받음.
현재 신청인은 B 병원 통원치료를 끝낸 상태로, 수술 부위에 상처 회복을 위한 연고(contractubex gel) 바르고 있으며, 경부농양배농술 받은 좌측 목 부위의 움직임이 부자연스러운 상태임.
분쟁 쟁점
환자측: 피신청인의원에서 우측 상하 사랑니(#18, 48) 발치 후 목이 붓고 침 삼키기 어려운 증상 발생하였고, 이후 증상이 점점 악화되어 상급병원에 내원하여 경부 심부감염 진단하에 경부농양배농술 시행 받음.
병원측: 우측 사랑니 발치는 순조롭게 이루어졌으며, 발치 후 심한 종창 등의 부작용도 없었고, 2번의 진료 시에도 별다른 특이사항 보이지 않았음. 임상경험상 발치 후 2일 만에 환자 상태가 악화된 경우를 경험한 바 없으며, 우측 사랑니를 발치하였는데, 좌측 악하부위에 소염수술처치 시행된 점은 의문임.|
감정의견
가. 과실유무
1) 발치 및 발치 후 조치의 적절성
내원 당시 신청인의 주소는 사랑니 통증이며, 이러한 통증의 원인은 #48 치아의 치아우식과 치아 주위의 만성염증에 기인하는 것으로 판단됨. 신청인이 진술한 ‘목이 갑갑하고 아픈’ 증상은 #48 치아 주변염증 진행과정의 증상으로 판단되며, 이러한 치성감염 증상을 치료하기 위해 원인이 되는 #48 치아를 발치하고 항생제를 처방한 것은 적절한 것으로 판단됨.
발치 후 다음날 발생된 ‘목이 붓고 침 삼키기 어려운 증상’은 #48 치아 발치 후 부종으로 판단할 수 있으며, 신청인이 개구장애, 호흡곤란, 연하곤란 등을 동시에 호소하였다면 관련 상급병원으로 전원하는 것이 필요하였을 것으로 판단됨.

2) 설명의 적절성
통상적인 사랑니 발치 후의 합병증은 출혈, 종창, 동통, 감염, 개구장애 등이 있고, 드물게는 신경손상, 상악동염증이 있음. 제출된 피신청인의 진료기록에는 만성염증이 있는 사랑니 발치 시의 주의사항 및 부작용 발생에 대한 설명이 이루어졌음이 기록되어 있지 않아 설명이 적절하게 이루어졌다고 보기는 어려움.
나. 인과관계
경부심부감염의 발생 원인과 시점은 제출된 진료기록, 파노라마 영상, 신청인의 경위서, 피신청인의 답변서 등의 자료로는 정확히 추정하기 어려우나, 파노라마 영상에서 보이는 #48 치아의 맹출 경사도 및 골 흡수양상, 치아우식이 관찰되는바, #48 치아 주변의 만성적인 수평지치주위염 가능성이 높은 것으로 판단되며, 이러한 만성염증이 경부심부감염의 발생 원인으로 추정됨. 발생 시점은 #48 치아의 통증이 발생된 시점 또는 발치 전·후로도 판단할 수 있으나, 발치 전 CT 등 악안면 영역의 감염정도를 판단할 수 있는 자료가 없어 정확히는 추정할 수 없음. 또한, 경부 심부감염 발생은 #48 수평지치 발치보다 #48 치아 주변의 만성 주위염으로 추정되는 만성염증의 진행과정과 인과관계가 높은 것으로 보이며, 이 시기에 사랑니 발치가 이루어져 만성 염증 진행과정이 다소 심화된 것으로 추정됨.
조정결과
의료중재원의 감정 결과 #48 치아 발치 및 발치 후 조치는 적절하였으며 경부 심부감염 발생은 #48 치아의 발치보다는 치아 주변의 만성 주위염으로 추정되는 염증의 진행과정과 인과관계가 높다고 판단하였음. 그러나 이 건과 같이 지치주위염과 치아우식이 있는 #48 치아의 통증으로 발치를 할 경우 치아 주변의 만성염증이 발치 후 염증 과정의 심화에 영향을 미칠 가능성이 있으므로 치성 감염의 주변 조직으로의 진행 가능성과 이에 대한 응급조치의 설명을 충분히 한 다음 발치를 해야 하나 이를 소홀히 하였던(설명의무 위반)것으로 판단함. 이에 피신청인의 책임을 인정하여 금원을 지급하고, 신청인 또한 향후 이 사건과 관련하여 피신청인의 명예나 평판을 훼손하는 일체의 행위 및 민·형사상 이의를 제기하지 아니할 것으로 조정결정을 내렸으나 피신청인이 부동의로 합의에 이르지 못함.
감정요점 및 예방 Tip
· 하악 우측 사랑니 발치 후에 발생한 악하부 농양으로 감정의 요점은 발생한 악하부 농양이 피신청인의원의 발치 과정 또는 발치 후 조치의 과실 여부를 판단하는 것임. 제출된 진료기록 및 자료로 판단할 때 발치 전 해당 치아에 치아우식과 지치주위염이 존재하는 상태로 발행한 악하부농양은 기존에 존재하던 만성 염증의 진행에 의한 것으로 피신청인의 외과적 시술 상의 과실을 인정하기 어려움. 다만, 사랑니 발치 시의 주의사항 및 부작용 발생에 대한 설명이 구두로 이루어졌다고 하여도 발치동의서 상에 설명 기록과 신청인의 서명이 없다면 설명이 적절하게 이루어졌다고 보기는 어려움.
· 하악 우측 제3대구치 발치 후 통상적인 합병증으로 동통, 감염, 개구장애가 발생할 가능성이 있어, 신청인에게 이러한 합병증 가능성에 대하여 발치 전에 발치동의서 상에서 충분히 설명한 표시를 남기고 신청인의 서명을 받아 진료기록으로 보관하였다면, 분쟁을 예방할 수 있었을 것으로 판단됨.
