사건개요
근관치료 후 입술 주위의 화끈거림 등 감각 이상과 통증이 발생하여 음식물 섭취에 어려움이 발생하였고, 한달여 지난 시점에 종합병원에 내원하여 콘빔 CT 검사 등을 통해 수산화칼슘에 의한 화학적 손상으로 이신경(Mental nerve)의 신경염 진단 받았음. 이후 지속적인 약물 치료하였으나 심한 통증 지속되고 약 3.3%의 노동능력상실률에 해당하는 후유장애 진단 받아 이에 대한 손해배상을 청구하기 위해 의료중재원에 조정신청을 하였음.
치료과정
신청인(여/40대)은 우측 상악의 보철물이 부분 탈락되어 피신청인의원에 내원하여 #17 치아의 근관치료를 시작함. #45, 46, 47 브릿지 상태가 좋지 않아 재보철 필요함을 설명 듣고 #45, 46, 47 치아의 오래된 보철물 제거하고 #47 치아에 근관치료 시작함. 아말감 코어를 제거하고 거터-퍼처(GP, Gutta -Percha) 코어를 일부 제거함.
4일 후 #47 치아 근관확장했으나 개통성 확보되지 않음. 다음날 근관길이 측정하여 개통성 확보됨. 치은절제술 가능성 설명함. 근관 내부가 오염되어 있어 칼시펙스(Calcipex)로 근관내 약제 주입함. 다음날 신청인은 우측 하악 부위 앞쪽이 아프고, 욱신거림을 호소함. #47 근관충전하고, 충전 전·후 치근단 방사선 사진 촬영함.
이후 우측 하악 부위 많이 아프다고 호소하여 칼시펙스로 인한 가능성을 고려함. 소론도정(부신호르몬제) 등 약물 처방하였고, 파노라마 촬영 후 칼시펙스 흡수되고 있음을 확인함. 10일 후 온통 살갗까지 아프고, 일을 할 수 없을 정도로 아프며, 진통제를 추가해 먹어도 잠도 한숨도 못자고 혀만 닿아도 아픔을 호소하여 소론도정(부신호르몬제) 등 약물 처방함.
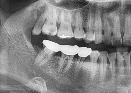
A대학병원 내원하여 콘빔 CT 촬영하고 삼차신경통 진단받고 원인을 제거하기 위한 턱수술 권유받음. B대학병원에서 파노라마 검사상 #47 하방 하치조신경관 내의 방사선 불투과성 물체는 수산화칼슘으로 확인되고, 수산화칼슘에 의한 화학적 손상에서 비롯된 우측 이신경(Mental nerve)의 신경염으로 진단하고, 소론도정(부신호르몬제) 등 약물 처방하여 지속적인 치료 받음. 이후 삼차신경손상으로 3.3% 노동능력상실률 장애 진단받음.
분쟁 쟁점
환자측: #47 근관치료 후 입술주위가 화끈거리고 쥐가 오듯이 입술이 떨리고 닿기만 하여도 심한 통증이 있어 제대로 음식을 씹을 수 없는 상태가 됨. 대학병원에서 약물로 신경이 손상되었다는 진단을 받고 현재까지 약물치료를 하였으나 통증이 지속되고 있고, 심한 통증으로 불면증까지 생겨 정신과 치료를 받고 있음.
병원측: 칼시펙스를 이용한 임시 근관충전 시술에 문제가 있었음을 인정함. 또한 신청인의 통증 호소에 대하여 임시 근관충전 후 1주일 동안 아무런 문제가 없었기에 임시 근관충전 문제를 인지하지 못하고 그에 대한 조치를 하지 않은 과오를 인정함. 타 대학병원의 진료결과 감각이상의 원인이 치근단을 넘어간 칼시펙스로 인한 하치조신경의 화학적 화상임을 확인하였음.
감정의견
가. 과실유무
1) #47 치아 근관치료의 적절성
진료기록부 및 방사선 사진 등 제출된 자료를 종합해보면, 신청인이 피신청인의원에 처음 내원 시 신청인의 #47 치아는 이차 치아우식, 이전 치수절단술 상태, 잘 맞지 않는 크라운 보철물 등으로 근관치료 후 크라운 수복이 필요한 상태로 판단되며, #47 치아에 대하여 근관치료를 시행한 것은 적절하였다고 사료됨.

그러나 #47 치아의 근관치료 과정 중 근관내 약제 주입 시 강알칼리 제제인 칼시펙스를 과다하게 치근단공을 넘어 하치조신경관까지 누출시킨 것은 적절하지 못하였다고 판단됨.

2) 근관내 약제 주입 후 발생된 통증에 대한 조치의 적절성
통상 근관내 소독을 위해 많이 사용되는 칼시펙스는 pH 12 정도의 수산화칼슘 강알칼리 제재로 소량 치근단공을 넘어간 경우는 전혀 문제가 되지 않으며, 오히려 열린 근첨 증례에서 치근의 성장을 유도하거나, 동(fistula)이 있는 치근단 병소의 경우 완화를 위해 의도적으로 소량 수산화칼슘 제재를 근첨부로 넘어가게 주입하기도 함.
본 건과 같이 근관내 약제가 근첨공을 넘어서 하치조신경관이나 이공 부위까지 과다하게 주입되는 경우 신경조직의 손상 가능성이 있으므로, 만약 치과의사가 다량의 약제가 하치조신경관이나 이공 부위로 넘어간 사실을 확인하게 되면 환자를 즉시 상급병원으로 전원하여 투약을 하거나 과량 흘러나간 약제를 세척, 제거해내는 수술을 권하고 있음.
#47 치아에 칼시펙스 약제를 근관내 주입한 후, 신청인이 통증을 호소하면서 내원하였을 당시 치근단방사선 사진과 파노라마 방사선사진을 촬영하고, 칼시펙스가 치근단공을 넘어가서 하치조신경관까지 누출된 것을 확인한 후 소론도 정 등 약물을 투약한 것은 적절하였다고 사료됨. 그리고 이후 계속되는 투약에도 통증이 경감되지 않아 상급 대학병원으로 전원한 것도 적절한 조치였다고 사료됨.

나. 인과관계
신청인의 우측 하악에 발생한 감각이상은 피신청인이 #47 치아의 근관치료 중 칼시펙스 근관내 약제를 치근단공을 넘어 하치조신경관까지 누출시켰고, 이로 인하여 삼차신경의 화학적 손상을 야기하였기 때문으로 판단됨.
조정결과
의료중재원 감정부의 감정 결과에 근거하여 #47 치아에 대한 근관치료는 적절하였으나 근관치료중 칼시펙스가 치근단공을 넘어 하치조신경관까지 누출되었고 이로 인하여 삼차신경의 화학적 손상이 발생하여 하악 우측 부위의 감각이상이 발생한 점이 인정되는 바, 이는 치료과정에서 통상 요구되는 주의의무를 다하지 못하여 발생한 것으로 판단할 수 있으므로 피신청인의 책임을 인정하여 금원을 지급함.
신청인은 향후 이 사건과 관련하여 피신청인의 명예나 평판을 훼손하는 일체의 행위 및 민·형사상 이의를 제기하지 아니하고 피신청인의 명예나 평판을 해하는 행위를 하지 않으며, 피신청인은 신청인이 느낀 불편과 고통에 대하여 사과함.
감정요점 및 예방 Tip
·#47 치아는 이차 치아우식, 이전 치수절단술 상태, 잘 맞지 않는 보철물 등으로 근관치료 후 크라운 수복이 필요했던 상태로 사료되어 피신청인이 #47 치아를 근관치료 한 것은 적절하였다고 사료됨. 그러나 피신청인이 #47 치아의 근관치료 도중 흔히 사용되는 근관내 약제인 칼시펙스를 치근단공 넘어 하치조신경관까지 누출시켰고, 이로 인하여 안면 삼차신경의 화학적 손상을 일으켜 신청인의 하악 우측 부위 감각이상이 발생하였음.
·근관내 약제의 사용이 필요한 경우, 주입 시 섬세한 주의가 필요함. 칼시펙스와 같은 강알칼리 제재의 경우 큰 말초 신경 가지를 침범하면 감각이상이 초래될 수 있음. 약제 주입 시 과도한 압력으로 주입을 피하고 열린 근첨의 경우에는 근단공을 넘어가기 쉬우므로 특히 주의가 필요하고 하악 대구치에서는 가급적 사용하지 말 것을 권고함. 약제 누출이 확인되면 환자에게 설명하고 즉각 상급병원으로 전원할 것을 권유함.
손호현
한국의료분쟁조정중재원 상임감정위원